Casos de Éxito
Descubra cómo nuestros tratamientos especializados han transformado vidas mediante distintos procedimientos. Cada caso refleja nuestro compromiso con la atención excepcional al paciente y la excelencia clínica.
Transformando vidas a través de atención especializada
La experiencia de cada paciente es única. Aquí presentamos algunos de nuestros casos más impactantes que demuestran nuestra experiencia en diferentes especialidades.

Yenny y su nueva sonrisa
Yenny llegó a nuestra consulta con miedo hacia todo tratamiento odontológico. Su situación clínica era compleja, presentaba una pérdida de la dimensión vertical que afectaba tanto la función como la estética, además de un sector anterior con compromiso en la línea gingival y necesidad de rehabilitación estética. Múltiples piezas dentales con pronóstico desfavorable. De a poco se fue animando hasta someterse a múltiples intervenciones bajo sedación intravenosa.
Nuestra solución:
El plan de tratamiento incluyó extracciones dentales, endodoncias. Se planificó un diseño de sonrisa, donde se realizó un recorte gingival acompañado de carillas dentales en el sector anterior y coronas sobre implantes en el sector posterior. Cada procedimiento quirúrgico se realizó bajo sedación intravenosa, lo que le permitió afrontar con calma las múltiples etapas del tratamiento.
El resultado:
Tras aproximadamente un año y medio, Yenny no solo recuperó la funcionalidad y la armonía estética de su sonrisa, sino que también superó su temor al odontólogo. Hoy en día nos alegramos cada vez que se presenta con su confianza y seguridad.
"Estaba aterrada por el tratamiento, pero la Dra. Gabriela y su equipo me hicieron sentir muy cómoda. La recuperación fue mucho más fácil de lo que esperaba, ¡y ahora puedo sonreír y comer sin preocupaciones!"
- Yenny

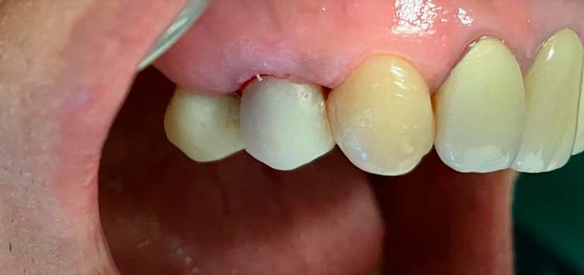
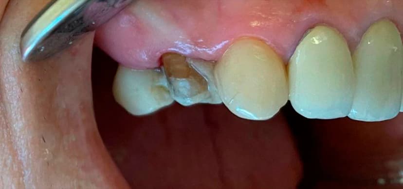
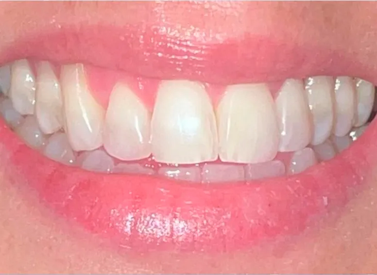
Dante, para implantes no hay edad
Dante, un empresario de 70 años, acudió a consulta con algo de miedo y un poco inseguro de buscar su nueva sonrisa. Presentaba la pérdida de múltiples piezas dentales y los dientes restantes tenían enfermedad periodontal avanzada.
Nuestra solución:
Se planificaron extracciones de los dientes con mal pronóstico y la colocación de implantes guiados. Posteriormente, se realizó la rehabilitación con prótesis fijas de zirconia sobre implantes, garantizando estabilidad funcional y estética duradera.
El resultado:
Tras completar el tratamiento integral, Dante recuperó una sonrisa armónica y funcional. Hoy acude tranquilo y confiado a sus controles periódicos, y lucé con gran estilo su nueva sonrisa.
"Nunca pensé que me iba a animar a esto, pero el cambio fue un antes y un después. El tratamiento fue más fácil de lo que imaginaba y hoy me siento renovado."
- Dante
De prótesis removibles a dientes fijos, el caso de Beatriz
Beatriz, una paciente de edad avanzada, había utilizado prótesis removibles durante toda su vida. Esto le generaba incomodidad y limitaciones al momento de comer y hablar. El proceso fue meticuloso, y cuidadoso con mantener su seguridad y confianza durante todo el tratamiento.
Nuestra solución:
Se diseñó un plan de tratamiento con colocación de implantes que permitieron rehabilitar con dientes fijos, devolviéndole la funcionalidad y comodidad que no había tenido en décadas.
El resultado:
Beatriz pasó de depender de prótesis removibles a disfrutar de dientes fijos, con una sonrisa estable y natural. Su calidad de vida mejoró notablemente y hoy transmite alegría y confianza en cada visita.
"La única incomodidad fue haber tenido la boca abierta bastante rato. Los resultados son maravillosos, nunca más tuve ningún problema!"
- Beatriz
Nuestra Colección de Éxitos
Conozca las increíbles transformaciones que hemos logrado con nuestros diversos tratamientos. Deslice para comparar los resultados del antes y el después.


Cirugía Maxilofacial
Procedimiento quirúrgico para reubicar tridimensionalmente los maxilares.


Urgencias y Resoluciones en el día
Atención inmediata para resolver molestias y urgencias odontológicas.


Resinas Directas
Restauración estética que devuelve forma, tamaño y función al diente.


Cambio de Amalgama
Reemplazo de una restauración antigua de amalgama por una de resina estética.


Diseño de Sonrisa
Optimización estética de la sonrisa mediante armonización dental y gingival.


Ortodoncia
Alineación dental y corrección de mordida para una sonrisa equilibrada.


Rehabilitación Bucal Completa
Restauración integral de piezas dentales y función masticatoria.


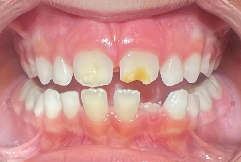
Lesiones Cervicales
Reparación de lesiones cervicales con un acabado estético y natural.


Blanqueamiento
Mejora del color dental para una sonrisa más luminosa y natural.


Caries de Biberón
Tratamiento conservador para recuperar la salud bucal infantil.


Defecto Congénito
Corrección estética y funcional de alteraciones dentofaciales congénitas.


Ortopedia
Corrección temprana del crecimiento maxilar y mandibular en niños.
¿Listo para comenzar tu transformación?
Cada sonrisa tiene una historia. Permitinos ayudarte a escribir la tuya.


